हमें ईमेल करें
वर्कफ़्लो सॉल्यूशन इम्प्लांट

वर्कफ़्लो सॉल्यूशन इम्प्लांट

कृत्रिम समाधान असाधारण व्यक्तित्व और बेहतर कार्य का वादा करता है। हम तकनीशियनों की जरूरतों के लिए एक समर्पित डिजाइन के साथ आदर्श डेन्चर दांत प्रदान करते हैं।

कार्यप्रवाह समाधान के लाभ

  • बेहतर स्थिरता और प्रतिधारण

  • चबाने की क्षमता बढ़ी

  • बढ़ी हुई सांत्वना

  • अस्थि घनत्व का संरक्षण

  • दीर्घकालिक स्थायित्व

  • रखरखाव में सुधार और सुविधा

प्रत्यारोपण वर्कफ़्लो समाधान का कार्यप्रवाह

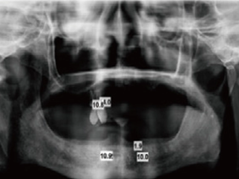
एक्स-रे लें
एक्स-रे लें

एक्स-रे लें और दंत प्रत्यारोपण के लिए प्लेसमेंट स्थान को परिभाषित करें।

अस्थि में प्रत्यारोपण
अस्थि में प्रत्यारोपण

हड्डी के अंदर प्रत्यारोपण करें और लोकेटर प्लेटफ़ॉर्म जोड़ें

3. इंप्रेशन प्राप्त करें
3. इंप्रेशन प्राप्त करें

इंप्रेशन लें और मॉडल पर समर्थित डेन्चर

4. डेन्चर बनाएं
4. डेन्चर बनाएं

प्रत्यारोपण के लिए छेद के साथ डेंचर बनाएं

उत्पाद
हमें खोजें

हम आपको हमसे संपर्क करने के लिए आमंत्रित करते हैं। बस हमें एक संदेश भेजें या हमें कॉल करें।

US Customer Service Manager:

Contact: Gabriella

E-mail: marketing@vincismile.com

Phone: 1-626-283-5808


Online Inquiries or Sales Questions:
US Inside Sales Manager:
Contact: Adrian
Phone: 1-626-400-1204

Email: adrian.r@nobildent.com

जब भी और आपको जो भी चाहिए, हम आपके लिए सबसे अच्छा समाधान प्रदान करना चाहते हैं।
हमसे संपर्क करें
ई-मेल
marketing@vincismile.com